ClockThứ Ba, 11/02/2025 16:20
THÔNG TIN DOANH NGHIỆP:

5 sai lầm sau khi nhổ răng có thể bạn chưa biết

HNN.VN - Nhổ răng là một thủ thuật nha khoa phổ biến, nhưng nhiều người mắc phải những sai lầm sau khi nhổ răng mà không hề hay biết. Những sai lầm này có thể ảnh hưởng tiêu cực đến sức khỏe răng miệng và làm tăng chi phí điều trị trong tương lai. Dưới đây là X sai lầm phổ biến mà bạn nên tránh.

1. Không trồng răng sau khi nhổ răng

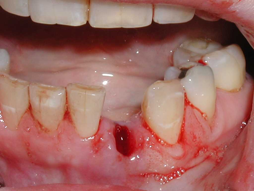
Một trong những sai lầm nghiêm trọng nhất mà nhiều người mắc phải là không trồng răng sau khi nhổ. Khi mất răng mà không được thay thế kịp thời, xương hàm tại vị trí mất răng sẽ bị tiêu biến theo thời gian, dẫn đến các vấn đề như xô lệch răng, sai khớp cắn và lão hóa sớm khuôn mặt.

Vậy nhổ răng bao lâu thì trồng răng Implant? Thời gian lý tưởng để trồng răng Implant thường từ 2-3 tháng sau khi nhổ răng (trong trường hợp không có nhiễm trùng hay viêm nhiễm). Nếu để quá lâu, xương hàm tiêu biến nhiều sẽ làm giảm khả năng cấy ghép Implant, hoặc phải ghép xương, khiến quá trình điều trị phức tạp và tốn kém hơn.

 

Bạn nên trồng răng Implant sau khi nhổ răng để ngăn ngừa tình trạng tiêu xương hàm và các biến chứng khác do mất răng

2. Không tuân thủ hướng dẫn của bác sĩ sau khi nhổ răng

Sau khi nhổ răng, nhiều người chủ quan, không tuân thủ các hướng dẫn chăm sóc của bác sĩ, dẫn đến các biến chứng như viêm nhiễm, sưng tấy hoặc chảy máu kéo dài. Các lưu ý quan trọng sau khi nhổ răng bao gồm:

●     Không súc miệng mạnh trong 24 giờ đầu.

●     Tránh ăn thực phẩm cứng, quá nóng hoặc quá lạnh.

●     Không dùng tay hoặc lưỡi chạm vào vị trí nhổ răng.

●     Uống thuốc theo đơn và tái khám đúng hẹn.

Việc tuân thủ hướng dẫn của bác sĩ sẽ giúp quá trình lành thương diễn ra nhanh chóng, hạn chế nguy cơ nhiễm trùng và các biến chứng không mong muốn.

Bạn cần tuân thủ các hướng dẫn chăm sóc của bác sĩ sau khi cấy ghép Implant để đảm bảo răng khỏe mạnh, bền chắc

3. Chủ quan với hiện tượng chảy máu kéo dài

Một số người cho rằng chảy máu sau khi nhổ răng là bình thường, nhưng nếu chảy máu kéo dài quá 24 giờ hoặc có dấu hiệu nhiễm trùng (sưng, đau, mùi hôi), bạn cần quay lại nha khoa để kiểm tra. Đây có thể là dấu hiệu của biến chứng nguy hiểm như nhiễm trùng ổ răng khô (dry socket) – một tình trạng rất đau đớn do cục máu đông bảo vệ không hình thành đúng cách.

Nếu bạn thấy chảy máu quá nhiều, hãy cắn chặt gạc sạch trong khoảng 30 - 45 phút và nghỉ ngơi. Nếu tình trạng không cải thiện, cần liên hệ ngay với nha sĩ để được xử lý kịp thời.

 

Bạn cần cẩn trọng với các dấu hiệu chảy máu chân răng Implant bởi đó có thể là cảnh báo biến chứng nguy hiểm

4. Lựa chọn trồng răng Implant chỉ dựa trên giá cả

Chi phí là yếu tố quan trọng khi quyết định trồng răng Implant, nhưng nếu chỉ lựa chọn dựa trên giá cả trồng răng Implant, bạn có thể gặp rủi ro lớn. Những cơ sở nha khoa kém uy tín có thể sử dụng trụ Implant không rõ nguồn gốc, bác sĩ thiếu kinh nghiệm hoặc quy trình vô trùng không đảm bảo, từ đó dẫn đến thất bại trong điều trị. Để có thông tin chi tiết hơn, bạn có thể tham khảo giá cả trồng răng implant tại các nha khoa uy tín trước khi đưa ra quyết định.

Trồng răng Implant là một kỹ thuật đòi hỏi chuyên môn cao và trang thiết bị hiện đại. Do đó, thay vì chỉ quan tâm đến giá cả, bạn nên lựa chọn nha khoa uy tín, có bác sĩ giàu kinh nghiệm và sử dụng vật liệu Implant chất lượng cao để đảm bảo kết quả lâu dài.

 

Chỉ quan tâm đến chi phí khi thực hiện cấy ghép Implant tồn tại nhiều rủi ro nghiêm trọng

5. Nghĩ rằng trồng răng Implant gây đau đớn và nguy hiểm

Nhiều người e ngại trồng răng Implant vì lo sợ đau đớn hoặc biến chứng nguy hiểm. Trên thực tế, với công nghệ hiện đại ngày nay, quá trình cấy ghép Implant diễn ra nhanh chóng, an toàn và ít đau hơn nhiều so với suy nghĩ của nhiều người.

Bác sĩ sẽ sử dụng thuốc gây tê hoặc gây mê để bạn hoàn toàn không cảm thấy đau trong quá trình thực hiện. Sau khi cấy ghép, bạn có thể cảm thấy hơi khó chịu trong vài ngày đầu, nhưng điều này có thể kiểm soát bằng thuốc giảm đau theo chỉ định. Nếu được thực hiện đúng kỹ thuật và chăm sóc tốt, trồng răng Implant là một giải pháp an toàn và hiệu quả để phục hồi răng đã mất.

 

Trồng răng Implant không gây đau đớn vì bác sĩ sẽ thực hiện gây tê trước khi cấy ghép

Nhổ răng là một quyết định quan trọng và cần được thực hiện đúng cách để tránh những hậu quả không mong muốn. Việc không trồng răng kịp thời, không tuân thủ hướng dẫn của bác sĩ hay lựa chọn nha khoa dựa trên giá rẻ có thể khiến bạn gặp phải nhiều vấn đề nghiêm trọng. Bạn cần lựa chọn các cơ sở nha khoa uy tín để tham khảo thông tin chính xác cũng như nhận được tư vấn và có phương án điều trị phù hợp nhất.

ĐÁNH GIÁ
Hãy trở thành người đầu tiên đánh giá cho bài viết này!
  Nội dung góp ý

BẠN CÓ THỂ QUAN TÂM

THÔNG TIN DOANH NGHIỆP:
3 sai lầm cần tránh khi thay đổi công việc

Thay đổi công việc nhìn chung là một quá trình tương đối tốn thời gian và phức tạp bởi bạn cần xem xét đến nhiều yếu tố khách quan cũng như chủ quan, chẳng hạn như khả năng cá nhân, định hướng tương lai, môi trường làm việc mới,... Nếu không cân đo đong đếm một cách kỹ lưỡng, bạn sẽ rất dễ mắc sai lầm.

3 sai lầm cần tránh khi thay đổi công việc
UNCTAD: Những sai lầm về chính sách có thể gây ra suy thoái tồi tệ

Báo cáo mới được Hội nghị Liên Hiệp Quốc về Thương mại và Phát triển (UNCTAD) mới đây công bố rằng, thế giới đang trên đường tiến gần hơn đến suy thoái toàn cầu và tình trạng trì trệ kéo dài, trừ khi các chính sách tài khóa và tiền tệ đang gây ảnh hưởng ở một số nền kinh tế tiên tiến nhanh chóng được thay đổi.

UNCTAD Những sai lầm về chính sách có thể gây ra suy thoái tồi tệ
Những sai lầm không thể cứu vãn

Trong những vụ án giết người mà nguyên nhân bắt nguồn từ tình cảm “ngoài luồng”, có bị cáo ngoài việc phải chịu hình phạt của pháp luật, còn bị cộng đồng, xã hội lên án. Có trường hợp, bản thân người bị hại cũng đáng trách…

Những sai lầm không thể cứu vãn

TIN MỚI

Return to top